Health & Fitness
Yowch! Shingles: You May Be More Susceptible Than You Think
If you had chickenpox -- or the chickenpox vaccine --- you are at risk.

The American Academy of Dermatology reports that folks who have ever had chickenpox, or been vaccinated for it, are at risk for getting shingles – a painful, blistering rash.
This is because after the chickenpox clears, the virus stays in the body. If the virus reactivates, or wakes up, you could get shingles.
The shingles rash usually clears in a few weeks, but some people can experience pain, numbness, itching and tingling that can last months or even years, according to medical professionals.
Find out what's happening in Gilroyfor free with the latest updates from Patch.
“Although shingles is much less contagious and itchy than chickenpox, it tends to cause more pain,” said board-certified dermatologist Daniela Kroshinsky, MD, MPH, FAAD, assistant professor of dermatology, Harvard Medical School.
According to the Centers for Disease Control and Prevention, nearly one million Americans experience shingles each year, and the disease is most common in older adults, the academy reports. A vaccine, which can help prevent shingles, is available to people ages 50 and older, and it is recommended by dermatologists.
Find out what's happening in Gilroyfor free with the latest updates from Patch.
The academy shared the following common signs and symptoms, and tips to help with the pain and itching:
According to dermatologists from the American Academy of Dermatology (Academy), common signs and symptoms of shingles include:
- An area of skin that burns, itches, tingles or feels very sensitive: This usually occurs in a small area on one side of the body and lasts one to three days.
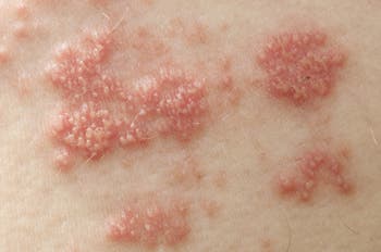
- A rash that begins as red spots and quickly turns into groups of clear, painful blisters: These may turn yellow or bloody before they scab over and heal.
- Flu-like symptoms: A fever or headache may occur with the rash.
- Pain: Sometimes, the pain is bad enough for a doctor to prescribe medication. The pain tends to lessen once the blisters heal, which can take two to three weeks.
To help relieve shingles pain and discomfort, the Academy recommends the following tips:
- See a board-certified dermatologist as soon as symptoms appear. A dermatologist may prescribe anti-viral medicine and a medicine to help reduce the pain more quickly. When used within 72 hours of the rash appearing, these medications may make symptoms milder and shorter.
- Cool the rash with ice packs, cool wet cloths, or cool baths.
- Gently apply calamine lotion to the rash and blisters. Never pick at, scratch or pop the blisters, as the fluid within the blisters can be contagious and blisters help your skin heal.
- Cover the rash with loose, non-stick, sterile bandages.
- Wear loose, cotton clothing around the body parts that hurt.
“If you suspect you have shingles, avoid contact with women who are pregnant and anyone who has not had chickenpox or has not been vaccinated, and see a board-certified dermatologist right away,” said Dr. Kroshinsky.
More info here on the academy’s web site.
Also on Patch:
- Things Got Ugly When Sonoma Co. Renter Turned Property Into Illegal Pot-Grow House
- Petaluma Stars In McDonald’s TV Commercial
- CA Senator Files Legal Brief in Support of Ending State’s Death Penalty
- Buyer Nixes Purchases of South Bay Hospitals; Daughters of Charity Mulling Next Step
- Gas Prices Rose 75 Cents Last Month in Northern California
- Dear Parents: Books That Make Your Kids Smarter
- SJ Cop From Gilroy Charged With Rape Sent To Jail
» Find your Patch below, click on the link and sign up for our free daily newsletters and news alerts:
DIXON | NAPA VALLEY| ROHNERT PARK-COTATI| SONOMA VALLEY| HEALDSBURG|PETALUMA| SUISUN CITY | BENICIA| DAVIS|
| FAIR OAKS-CARMICHAEL| ELK GROVE| ROSEVILLE| ROSEMONT| CITRUS HEIGHTS|DAVIS|
| CAPITOLA-SOQUEL| SANTA CRUZ| SCOTTS VALLEY| WATSONVILLE|
CAMPBELL | CUPERTINO| GILROY| LOS GATOS| LOS ALTOS| MILPITAS| MOUNTAIN VIEW | PALO ALTO| SARATOGA|
| CONCORD| LAMORINDA| MARTINEZ| PLEASANT HILL| WALNUT CREEK| BENICIA|DIXON | SUISUN CITY |
Get more local news delivered straight to your inbox. Sign up for free Patch newsletters and alerts.