Neighbor News
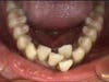
Crowded teeth can lead to tooth loss in adults.
Many adults suffer from crowded teeth in the front of both the lower and upper arches. This can lead to tooth loss. Invisalign can help.
Our office, Colonial Dental Group, Ltd., is providing a "Did you know?" segment on our facebook page bi-monthly. We are offering tips and information to the community about dental care for children and adults and will also be promoting new products and special offers.
Many adults think that if the lower front teeth are crowded and overlapping that they just have to live with it. Not true! Invisalign has become a great option for adults to be able to fix crowding before it leads to other issues such as tooth loss. When the arch becomes crowded, the teeth become harder to keep clean and the gums become inflamed and sometimes recession takes over because of this movement pushing a tooth out. A tooth can also become lodged behind other teeth creating discomfort.
Dr. Alexander Quezada does Invisalign on adults with these issues and very often they can be corrected within months. Once the arch is corrected, you will be provided with a clear retainer that will keep your teeth from moving back to a compromising position. If you are interested in getting more information or want to find out if you are a candidate for Invisalign you can visit our website at www.colonialdentalgroup.com or visit our facebook page at https://www.facebook.com/Colon...
