Have a way with the written word and a need for more income? Check out these opportunities.
The potentially-deadly virus called Powassan was recently popped up again in Connecticut. Is it a concern in the Bay State?
Spc. John M. Dawson, 22, of Whitinsville, died in an attack April 8 in Jalalabad, Afghanistan.
Sarkodie-Mensah, who died on March 24, was sister to wrestling star Kofi Kingston.
Plus, it’s lights out in Marblehead, teens nabbed for vehicle break-ins, a new DCR commish named, and a broadcasting legend heads to rehab.
August 15, 2015
The temperature could surpass 70 degrees on Saturday in Winchester.
The advent of spring inspired an uptick in home sales throughout New England.
Academy Award®-Winning Filmmaker to Premiere Documentary at the Boston International Film Festival
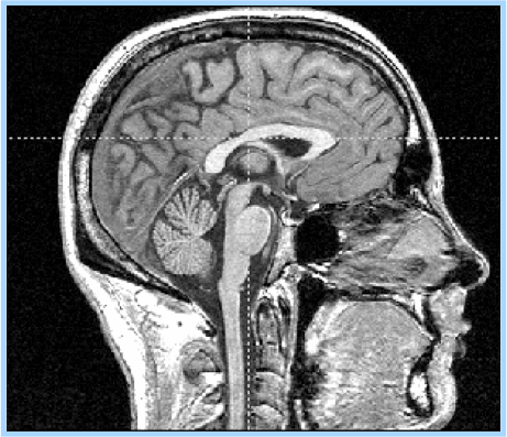
Boston Children's Hospital in Waltham is seeking participants for a paid brain MRI study seeking to understand concussions and migraines.
Don't Miss This Spectacular Yard Sale!
Don't miss this spectacular Yard Sale!
Plus, a dog’s feces leads the threat incident, $420 on 4/20, school sexting issues, and crazy crime, too.
Zillow updates us on the latest homes to leave the market in Winchester.
Fast and easy forgiveness of your student loans! Sound too good to be true? That's because it is.
No open burning Wednesday due to elevated fire potential.
Come join us at Mother to Mother's annual GIANT community yard sale this Sunday, May 17th at Memorial School in Burlington.
Not even four months in, Middlesex County has seen more opiate deaths in 2015 than it did in all of 2012.
Some of the hot stories on Patch.com sites in Massachusetts on Tuesday, April 14.
May is Bladder Cancer Awareness month and the Arlington bladder cancer community will Walk for Bladder Cancer on Saturday, May 9, 2015.
Listing Story
Bring your clubs to support The Club on Monday May 4th at Fresh Pond Golf Course!
Four post offices in the state have extended hours if you need to get your taxes out before midnight Wednesday, April 15.
Plus, possible meth lab discovered in Framingham, Wayland teen found, Canton man perishes in crash, and more from Patch.com today.
Murphy is a veteran of 13 marathons, so when she advises you to stretch, she knows what she's talking about.
Have a background in food service and a need for employment? Check out these opportunities.
The Massachusetts Emergency Management Agency (MEMA) sent out spectator guidelines on the Monday before the marathon.
The 119th Boston Marathon will take place April 20. Winchester Patch wants to hear from runners.
The past week on Winchester Patch.
Have professional driving experience? Scope out these opportunities.
Plus, a Somerville man is found mutilated and decapitated in Cambridge.
Watertown-based author Bower Lewis signs copies of her debut novel—set in and around Greater Boston—at The Book Oasis on Saturday, April 11
Woburn Animal Hospital to Host 2015 Pet Festival & Spring Screening for Dogs
Acera's First Annual STEM Symposium brings MIT, Dana Farber and MGH scientists together for a free family community event in Winchester.
A free, family friendly afternoon of STEAM activities, hosted at Acera School: Robot building, forensic science, art stations and more!
Check out the Winchester Patch Jobs page for even more jobs.
The Andersen Team's Annual Shred It & Share It Event to Benefit The Mission of Deeds
The week so far on Winchester Patch.
MBTA panel findings were released Wednesday by the Baker Administration.