A great art project for kids to make and give to mom for Mother's Day!
A class designed for intermediate and advanced knitters providing individual instruction and help with your projects.
The potentially-deadly virus called Powassan was recently popped up again in Connecticut. Is it a concern in the Bay State?
Spc. John M. Dawson, 22, of Whitinsville, died in an attack April 8 in Jalalabad, Afghanistan.
Patriots' Day events, an art reception and more in this latest round-up of news and happenings from Arlington Public News.
Plus, it’s lights out in Marblehead, teens nabbed for vehicle break-ins, a new DCR commish named, and a broadcasting legend heads to rehab.
Come Visit Lesley Ellis School! Now enrolling Preschool–8th Grade for September 2015.
Saturday, May 2nd - Join us for the Kids' Gently Used Clothing Sale at Lesley Ellis School, 41 Foster Street, Arlington, MA from 8-11am
Zillow updates us on the newest homes to hit the market in Arlington.
Goodwill is Highest Ranked Brand in its Category
Police advise residents to take Norfolk Road or Gray Street to get to Route 60.
August 15, 2015
The women’s chorus, Cantilena, performs “Illuminations: music of myth and meditation,” Sunday May 3rd at 4 pm, Guest Conductor Carol Marton.
The temperature could surpass 70 degrees on Saturday in Arlington.
The advent of spring inspired an uptick in home sales throughout New England.
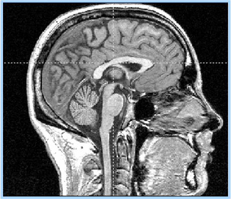
Boston Children's Hospital in Waltham is seeking participants for a paid brain MRI study seeking to understand concussions and migraines.
Don't Miss This SPECTACULAR Yard Sale!
The Church of Our Savior book event is on Sunday, April 26. Featured speaker talks to APN about the challenges faced by women behind bars.
The week that was in Arlington.
Plus, a dog’s feces leads the threat incident, $420 on 4/20, school sexting issues, and crazy crime, too.
As of 6 p.m., the road is once again clear.
New Series, 'Your Arlington Dollar' explains how town budget gets decided and funded.
High school students and their parents are often concerned about their upcoming college expenses.
Have a way with the written word and a need for more income? Check out these opportunities.
The Fiveash Legacy Lecture series continues with author Madeline Miller discussing The Song of Achilles on Tuesday, April 28th
Saturday, May 30, 2015 from 1:30 - 6:50 at Payson Park Church (parish hall), 365 Belmont St., Belmont, MA
Not even four months in, Middlesex County has seen more opiate deaths in 2015 than it did in all of 2012.
Some of the hot stories on Patch.com sites in Massachusetts on Tuesday, April 14.
“HeRSToRy HaPPeNiNG,” is a weekend-long celebration over Mother's Day including a Videofest and exhibit.
The event takes place at the Whittemore-Robbins House at 10 a.m. Saturday.
May is Bladder Cancer Awareness Month and the Arlington bladder cancer community will Walk for Bladder Cancer on Saturday, May 9, 2015.
Listing Story
Four post offices in the state have extended hours if you need to get your taxes out before midnight Wednesday, April 15.
Trivia is back at the Council on Aging, 27 Maple Street, Tuesday, May 12 at 1:15, Free!
Elders Ensemble of Prometheus Dance Company, dancers 60-92 perform Thursday, May 14, 2-3 pm, Free!
Celebrate Older American's Month, Thursday May 28 at noon: Lunch of lobster/chicken salad & chowder, followed by Jazz Entertainment
COA Program Walk the Rink, Free, starts Tuesday/May 5 at 9:30 a.m. at Ed Burns Arena, 422 Summer Street, Arlington! Tuesdays/Thursday am
Intergenerational Storytelling Project, 3rd grade class, seniors led by John Porcino, - Tuesday May 26 1-2:30 pm / Thursday May 28 10:3
Plus, possible meth lab discovered in Framingham, Wayland teen found, Canton man perishes in crash, and more from Patch.com today.