Plus, where did those gunshots come from?, Patriots’ Day, a marriage proposal at the finish line, and the passing of cherished residents.
Heavy rain will continue through Tuesday.
Performances April 30th through May 16th. For tickets and information call 508-358-4034, or order online via www.vokesplayers.org.
Social Security does it's best to have a positive impact on the environment.
Don't stress over what theatre program to send your kids to this summer! Sign them up 6 weeks of fun they will never forget.
Heavy rain is expected to drench town.
These were the top Lexington stories of the week.
Rising Stars Camp is a one-week musical theater intensive where students ages 10-18 can hone their singing, acting, and dancing skills.
A classical orchestral performance in the Merrimack Valley, featuring violinist Zina Schiff and conductor Avlana Eisenberg
Join us on the farm next Sunday, April 26 to learn about composting or to help out with spring chores around the farmstead.
Environmental Science students from Class of 2017 pitch in to create Fenway Farms using skills they acquired at Minuteman
Plus, a 420 special in Natick, a runway model calls it quits, Wayland teen found, nice places to live, and a manhunt in Beverly.
40 students present Pirates of Penzance musical on April 30, May 1 and May 2 at LCA Cross Center for Performing Arts
Professionals to Discuss the Legal, Financial, Family and Personal Issues Encountered in the Divorce Process
The 119th Boston Marathon is Monday.
Michael Bain, 43, of Peabody, was arrested Thursday on Route 128 in Lexington.
A class designed for intermediate and advanced knitters providing individual instruction and help with your projects.
Spc. John M. Dawson, 22, of Whitinsville, died in an attack April 8 in Jalalabad, Afghanistan.
Crews will be paving the road April 21- 22.
Plus, it’s lights out in Marblehead, teens nabbed for vehicle break-ins, a new DCR commish named, and a broadcasting legend heads to rehab.
Lexington is one of nearly 200 communities in the state participating in the national “U Drive. U Text. U Pay.” program.
The company recently said it's moving more than 500 jobs to its Lexington offices.
Goodwill is Highest Ranked Brand in its Category
August 15, 2015
Check out Lexington homes for sale from our partners at Zillow.
The advent of spring inspired an uptick in home sales throughout New England.
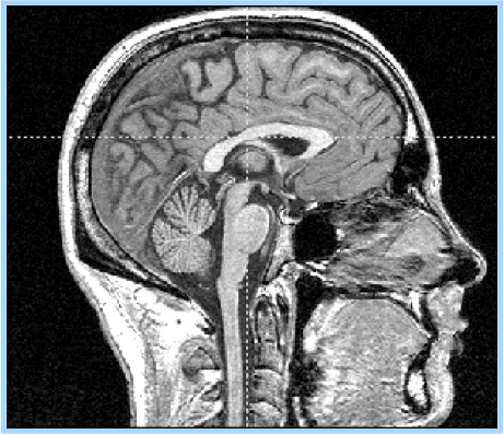
Boston Children's Hospital in Waltham is seeking participants for a paid brain MRI study seeking to understand concussions and migraines.
Don't Miss This Spectacular Yard Sale!
These are the top Lexington stories so far this week.
Plus, a dog’s feces leads the threat incident, $420 on 4/20, school sexting issues, and crazy crime, too.
Audition and performance information for Lexington Youth Summer Theatre 2015 Summer performance
High school students and their parents are often concerned about their upcoming college expenses.
The Fiveash Legacy Lecture series continues with author Madeline Miller discussing The Song of Achilles on Tuesday, April 28th
Search hundreds of Lexington jobs on our job board.
Temple Isaiah in Lexington is presenting a free program “The Many Faces of Addiction: What We Should Know” on Sunday May 3 at 2:00–5:00 pm.
Some of the hot stories on Patch.com sites in Massachusetts on Tuesday, April 14.
Come Join A Step Ahead Basketball for Skills Clinic during April School Break to continue to develop individual and team skills.