2017 is the year you finally take that resolution seriously.
Rodman CPAs is a full service tax and accounting firm serving small, mid-market, multi-generational companies throughout greater Boston.
Russo was a Waltham High graduate who turned his woodworking passion into a career after leaving the Navy.
Sean Kennedy allegedly crashed into a utility pole Sunday, according to a MetroWest Daily News report.
Demolition is expected to take three weeks to complete and will make way for construction of a new hotel.
It is Koutoujian's second term as Middlesex County sheriff.
A recent Boston Globe report outlined where those convicted of an OUI between 2012 and 2016 last drank before being charged.
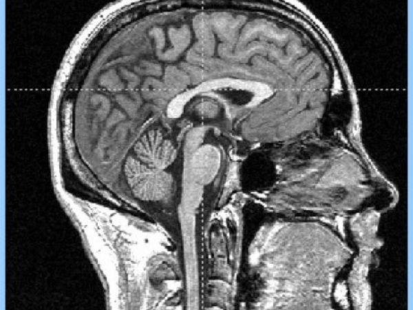
Seeking healthy children and young adults to participate in a paid MRI study to better understand sensory processing in the brain.
The funds will be used to manage and coordinate Waltham Connections, an effort to support diverse populations and address gaps in access.
Ruth's Chris is accepting applications for a slew of staff positions ahead of its opening this month.
The following are excerpts from the Waltham police log. An arrest does not indicate a conviction.
A look back at stories from your neck of the woods.
Here's a look at the most recent listings in your neighborhood.
We want your best Waltham photo to be our new cover photo on Facebook!
The star point guard showed why he is as much of a role model off the court as he is on it.
Including one hotly anticipated steak house.
When and where does the Watch City light its menorah?
The position was previously held by Tom Curtin, who died Dec. 2.
Here's when it'll be picked up at your curb, or where you can drop it off.
"Aging in Place" refers to living in the home of your choice - safely & independently. Home caregivers can help.
Here's what our readers were clicking over the past 12 months.
In its game against Cambridge Rindge and Latin Wednesday, both sides hung the numbers 10 and 19 for James Lavin and Owen Higgins.
MassNAELA announced its 2017 officers at its recent annual meeting, naming Waltham attorney, Steven Mann, as treasurer.
The man and woman allegedly stole a wallet from Panera Bread and then bought more than $8,500 in gift cards at a Target in Framingham.
The department said in the coming weeks it is beefing up patrols to look for drunk or high drivers.
Christmas falls on a Sunday this year, but many municipal offices and public services are closed the day after Christmas.
Free coffee, no road work and more make for less stress this holiday season.
Coach Mike Coven announced his retirement this month after 44 years at the helm of the celebrated program.
Waltham's plastic bag policy is unique, but it helps curb one of the biggest recycling contaminants.
Rodman CPAs is a full service tax and accounting firm serving small, mid-market, companies throughout the greater Boston area.
This is the 17th year in a row Bank of America has held a holiday party for Franciscan
Taylor Poulin, 24, is the second person convicted this year in the shooting death of Tyler Zanco.
Raffaele's Ristorante opened earlier this month and will be passing out samples during Thursday's Holiday Stroll.
Gore Place offers 50 acres of paths and open grounds. Of course, this is contingent on how much snow we get between January and March.
Learn about overdose signs and receive training on how to administer Narcan.